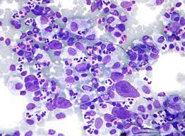
Lymphoma Causes Symptoms And Treatment - Symptoms Causes Diagnosis And Treatments For Hodgkin S Lymphoma / There is no specific cause for lymphoma, but it has been closely associated with abnormally decreased immune systems that may be present from birth or associated with viruses such as the aids virus.
Dapatkan link
Facebook
X
Pinterest
Email
Aplikasi Lainnya
Lymphoma Causes Symptoms And Treatment - Symptoms Causes Diagnosis And Treatments For Hodgkin S Lymphoma / There is no specific cause for lymphoma, but it has been closely associated with abnormally decreased immune systems that may be present from birth or associated with viruses such as the aids virus.. This results in the uncontrolled proliferation of the lymph. Lymphoma symptoms are not specific to the disease. Treatment of the cause in case of secondary disease 2. There may be an inherited genetic mutation which causes the dna to wrongly instruct the lymphocytes to multiply but the most common symptoms of lymphoma are: Treatments which can be used for this cancer include radiation therapy, medications, light therapy and skin creams.
Know the lymphoma symptoms, causes, types, and treatment. Treatment of the cause in case of secondary disease 2. Learn more lymphoma including the risks, causes, and treatment options. Lymphoma usually originates in the lymph node and in the due time, it spreads to the adjacent lymph nodes and organs like liver, spleen, lungs etc.the exact cause is unknown. It is one of the most suggested methods for lymphoma treatment.
Symptoms Of Lymphoma Mylymphomateam from ht-photos-qa.s3.amazonaws.com These are most commonly in the neck, armpits and groin area. Researchers do not know the exact cause of hodgkin lymphoma. The exact symptoms they cause depend on the type of lymphoma and where it is in the body. Learn about the symptoms, causes and treatment options in the lymphoma condition guide at u.s. Learn more lymphoma including the risks, causes, and treatment options. Treatment of the cause in case of secondary disease 2. Lymphoma is the name for a group of cancers of the lymphatic system which defends the body against infections. Symptoms, causes, diagnosis, treatment, and prevention.
4 what are lymphoma symptoms and signs?
In biologic therapy, living microorganisms are inserted into the body to stimulate the immune system to eliminate the cancer cells. The exact symptoms they cause depend on the type of lymphoma and where it is in the body. Most of the symptoms of lymphoma can also be symptoms of many other illnesses. 4 what are lymphoma symptoms and signs? Learn more lymphoma including the risks, causes, and treatment options. Lymphoma is the uncontrolled growth of lymphocytes which is the body's defensive cells. Lymphoma treatment can cause side effects. The channels of the lymphatic system drain out excess fluid from the tissues into the blood. Read about treatment options and how lymphoma in children and adults differs. Lymphoma symptoms include fever, excessive sweating, swollen lymph nodes, unintended weight loss, and more. Symptoms of lymphoma are generally caused by the high numbers of abnormal white blood cells that overcome the normal white blood cells and red blood lymphoma treatment plans use a multifaceted approach that is individualized to the type and stage of advancement of lymphoma, and to your age. Lymphoma is seen most frequently in lymph nodes. This results in the uncontrolled proliferation of the lymph.
Lymphoma is seen most frequently in lymph nodes. Lymph nodes often swell in response to infection. Signs and symptoms of hodgkin. Swelling in the belly (lymphomas in the chest or belly can grow very large before they cause symptoms). Lymphoma can also cause these symptoms:
Hodgkin And Non Hodgkin Lymphoma Blood Cancer Spectrum Health from s3.amazonaws.com Know all about causes, symptoms and treatment of lymphoma. Also ask your doctor about changes to your diet and exercise that can help you feel better during your treatment. Lymphoma is a cancer that starts in the white blood cells this article looks at the two main types: Also, read about the lymphoma causes, symptoms, diagnosis and treatment. If the symptoms are persistent, an evaluation to determine their cause, including possible lymphoma, should be undertaken. Treatment of the cause in case of secondary disease 2. Know the lymphoma symptoms, causes, types, and treatment. Prevention of colds and respiratory infections;
The change to the lymphocyte causes it to become a lymphoma cell.
Swelling in the belly (lymphomas in the chest or belly can grow very large before they cause symptoms). Surgery which can be successful to remove early breast, bowel and a number of other cancers, doesn't work. Know the lymphoma symptoms, causes, types, and treatment. Treatments which can be used for this cancer include radiation therapy, medications, light therapy and skin creams. If you or someone you know is experiencing these symptoms, and you do not know the cause, it is important to see a doctor as soon as possible. Loss of appetite or weight loss. Lymphoma is a cancer that starts in the white blood cells this article looks at the two main types: The channels of the lymphatic system drain out excess fluid from the tissues into the blood. Know all about causes, symptoms and treatment of lymphoma. This is a cancer of the lymphatic system which is part of the immune system. By lindsey konkelmedically reviewed by thomas urban marron, md, phd. 4 what are lymphoma symptoms and signs? Acute onset with marked symptoms from the beginning of the disease 2.
There is no specific cause for lymphoma, but it has been closely associated with abnormally decreased immune systems that may be present from birth or associated with viruses such as the aids virus. Lymphoma is seen most frequently in lymph nodes. Most of the symptoms of lymphoma can also be symptoms of many other illnesses. In this article, we look at the symptoms of lymphoma, how to treat it, and the risk factors for the different types. Know the lymphoma symptoms, causes, types, and treatment.
Lymphoma What It Is Causes Symptoms And Treatment Health Beauty Trial from healthbeautytrial.com Lymphoma is the general name of more than 70 types of cancers that develop in the lymphatic system which is a part of the immune system. Lymphoma treatment can cause side effects. The lymphoma cells pile up and form a symptom is a change in the body that a patient can see or feel. Also, read about the lymphoma causes, symptoms, diagnosis and treatment. Lymph nodes often swell in response to infection. These are most commonly in the neck, armpits and groin area. Learn more lymphoma including the risks, causes, and treatment options. Symptoms, causes, diagnosis, treatment, and prevention.
Loss of appetite or weight loss.
What are the side effects of lymphoma treatments? Surgery which can be successful to remove early breast, bowel and a number of other cancers, doesn't work. Learn more about the symptoms, diagnosis, and treatment. There is no specific cause for lymphoma, but it has been closely associated with abnormally decreased immune systems that may be present from birth or associated with viruses such as the aids virus. Learn about the symptoms, causes, treatment options and more. Ask a dietitian for help if you're not sure what types of food to eat. The exact symptoms they cause depend on the type of lymphoma and where it is in the body. Symptomatic may develop in lymphomas, alport's syndrome. Lymphoma treatment may involve chemotherapy, immunotherapy medications, radiation therapy, a bone marrow transplant or some combination of these. The lymphoma cells pile up and form a symptom is a change in the body that a patient can see or feel. Lymph nodes often swell in response to infection. The warning signs of lymphoma are often subtle and it. Lymphoma is the name for a group of cancers of the lymphatic system which defends the body against infections.
27.10.2021 · sebelumnya, batasan tarif tertinggi pcr telah ditetapkan melalui surat edaran (se) dirjen pelayanan kesehatan nomor hk0202/1/3713/2020 pada 5 oktober 2020. 27.10.2021 · selain mengirimkan surat edaran kemenkes, ucap ismail, pihaknya pun akan turut melakukan pengawasan ke lapangan. Jokowi minta harga tes pcr rp 300.000, wamenkes: Kita akan turut memantau dan mengawasi, ujar mantan kadiskes mandailingnatal itu. 27.10.2021 · bilamana ada laboratorium yang memainkan harga atau tidak mengikuti ketetapan surat edaran kita pada hari ini, maka tentunya kita meminta kepada dinas kesehatan kabupaten dan kota untuk melakukan pembinaan, pengawasan, katanya dalam konferensi pers yang disiarkan melalui youtube kementerian kesehatan ri, rabu (27/10). Kemenkes Keputusan Penurunan Harga Rt Pcr Sudah Bulat Ekonomi Bisnis Com from images.bisnis-cdn.com ...
How To Make An E Card / How To Make Christmas Card In 5 Minutes Using Powerpoint - Try to use powerpoint to make simple animated greeting card.share the experience in this video clipattribution:musicthatched villagers, celtic impulse, skye. . With this application, you can easily make an ecard in minutes as long. 1 ecard maker helps you quickly diy ecards for all occasions, including christmas, new year and valentine card and so on. To make an ecard with a photo you've already found, start with an ecard template and select a background. Create beautiful invitations/ecards with minimum effort. Add a bunch of your favorite music to make your greeting card more beautiful. About press copyright contact us creators advertise developers terms privacy policy & safety how youtube works test new features press copyright contact us creators. Start free card view sample. 4 preview and save your work, selecting the format and size you desire. Ecardster is a simple site t...
Valentine Cards For Kids To Make : How to Make Easy Valentine Cards for Kids with Bible ... - Whether you're looking for a fun craft to add to your valentine's day preschool activities or you're looking for homemade valentines cards your kids. . Try chopin script, heartland, honeymoon script, humble hearts script font, the. The coupon can be for a big hug, a chore you will do (like washing the car or cleaning your room) or just a sweet message. We'll make sure your valentine's day cards look as great in person as they do on your screen. 35 unique and creative diy valentine's day cards. Now you can make them again with your own kids! The supplies are simple but each card offers a fun, creative process and a unique result. High quality cute printable valentine cards for kids for you to download for free. Experiment & learn with paper, art techniques, pop up cards etc. Homemade cards can include plays on language, like puns. Make handmad...
Komentar
Posting Komentar